

Neviditelná rovnátka
Specializujeme se na moderní ortodoncii s důrazem na komfort a estetiku. Neviditelná rovnátka jsou šetrná, efektivní a téměř neviditelná. Ideální řešení pro děti, teenagery i dospělé, kteří chtějí rovné zuby bez klasických drátků.
Ověřeno více než 8.000 pacienty
Ceny neviditelných rovnátek
SPARK 10
SPARK 20
SPARK 35
SPARK Advanced
Neomezený počet sad rovnátek (za nová se platí pouze v případě ztráty), neomezený počet refitment sad.
94.000 Kč
Mám zájem
Výhody neviditelných rovnátek
Diskrétní a estetické řešení
Neviditelná rovnátka jsou průhledné a téměř neviditelné. Nikdo si nevšimne, že je používáte.
Pohodlné a odnímatelné
Snadno je sundáte při jídle nebo čištění zubů, takže si nemusíte odpírat oblíbená jídla ani měnit návyky v péči o úsměv. Neviditelné rovnátka je možná snadno si sundat pro čištění zubů a ústní dutiny, což je výhodné pro udržování správné ústní hygieny během léčby.
Moderní 3D plánování léčby
Díky digitálnímu skenu předem uvidíte simulaci výsledku a celý postup léčby – přesně víte, jak bude váš úsměv vypadat.
Méně návštěv v ordinaci
Alignery se mění podle předem stanoveného plánu, proto stačí méně kontrolních schůzek než u klasických rovnátek.
Šetrná a efektivní léčba
Alignery jsou hladké, bez kovových částí, a proto méně dráždí dásně či tváře. Jsou vhodné pro dospělé i teenagery.
Jíte kdykoliv a cokoliv
Vzhledem k tomu, že neviditelná rovnátka Smiletech se snadno sundávají, můžete jíst prakticky cokoli, co byste mohli jíst bez rovnátek.
Postup léčby
Vstupní konzultace
Pacient přichází na bezplatnou 30minutovou konzultaci.
Návrh léčby
Do dvou týdnů obdržíte plán s cenou, délkou trvání a počtem sad rovnátek.
Výroba rovnátek
Výroba trvá 1–3 týdny od schválení navrhovaného léčebného plánu.
Zahájení léčby
Připevní se úchyty a háčky a podepíše se informovaný souhlas.
Pravidelné kontroly
První kontrola se provádí po jednom měsíci, poté každé 2–3 měsíce. Kontrola trvá 15 až 30 minut.
Dokončovací sady
Pro doladění požadovaného výsledku. Počet závisí na léčebném programu.
Úspěšné ukončení léčby
Odstranění přídavných zařízení a háčků, leštění zubů, fotodokumentace.
Retenční fáze
Po léčbě je nutné nosit retenční aparát. Můžete si vybrat mezi drátěným nebo nočním aparátem.

„Rovnátka Spark patří mezi nejpreciznější a nejpohodlnější ortodontická řešení, která jsou dnes k dispozici. Na rozdíl od tradičních rovnátek nabízejí diskrétní a šetrnou léčbu, která je oblíbená jak u dospělých, tak u teenagerů. Díky digitálnímu plánování víme přesně, jak bude úsměv vypadat ještě před zahájením léčby.“
Martin Šlitr
Manažer kliniky
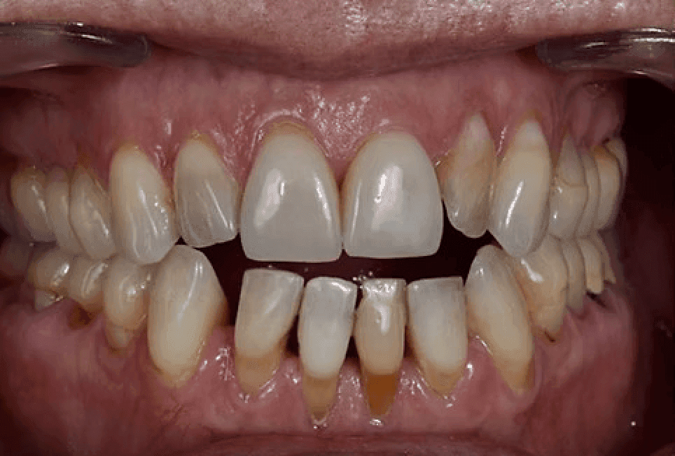
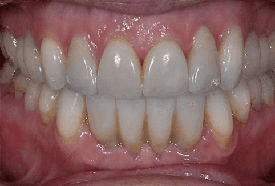
Výsledky léčby


Jak nás hodnotíte
Absolutně TOP⭐️, zejména přístup personálu je k nezaplacení. Je to opravdu jiný level a jsem moc ráda, že jsem na tuto kliniku dostala doporučení.
VíceSuper práce! Maminka je spokojená, vše proběhlo bez problémů. Profesionální přístup pana doktora i asistentů, vřele doporučuji. 🫶
VíceCelý proces léčby, komunikace s lékařem i ostatním personálem byl příjemný a profesionální. Moc jim děkuji.
VíceNa co se nás ptáte ohledně rovnátek
Zeptejte se násProč chodit na dentální hygienu s rovnátky?
Proč je důležité nevyhazovat alespoň 2 až 3 sady posledních rovnátek?
Jak jíst a pít s neviditelnými rovnátky?
Jak dlouho musím během dne nosit rovnátka?
Jak čistit neviditelná rovnátka?
Je možné že léčba bude nepříjemná a nebo bolestivá?
Proč se mi po zahájení léčby a nošení prvních sad tvoří více slin?
Jaké jsou možné komplikace při léčbě neviditelnými rovnátky?


První krok k zářivému úsměvů
Teď je to na vás. Zavolejte nám, napište nebo vyplňte kontaktní formulář. Objednejte se na konzultaci k neviditelným rovnátkům.
