

Invisible braces
We specialize in modern orthodontics with an emphasis on comfort and aesthetics. Invisible braces are gentle, effective, and almost invisible. They are the ideal solution for children, teenagers, and adults who want straight teeth without traditional braces.
Verified by over 8,000 patients
Prices of invisible braces
SPARK 10
SPARK 20
SPARK 30
SPARK Advanced
Unlimited number of braces sets (new ones are only paid for if lost), unlimited number of refitment sets.
3,900 EUR
I am interested
Benefits of invisible braces
Discreet and aesthetic solution
Invisible braces are transparent and almost invisible. No one will notice that you are wearing them.
Comfortable and removable
They are easy to remove when eating or brushing your teeth, so you don't have to give up your favorite foods or change your oral care habits. Invisible braces can be easily removed for cleaning your teeth and mouth, which is beneficial for maintaining proper oral hygiene during treatment.
Modern 3D treatment planning
Thanks to digital scanning, you will see a simulation of the result and the entire treatment process in advance – you will know exactly what your smile will look like.
Fewer visits to the doctor's office
Aligners are changed according to a predetermined plan, so fewer check-ups are needed than with traditional braces.
Gentle and effective treatment
Aligners are smooth, with no metal parts, and therefore cause less irritation to the gums and cheeks. They are suitable for both adults and teenagers.
Eat anything, anytime
Since invisible braces are easy to remove, you can eat practically anything you would eat without braces.
Treatment process
Initial consultation
The patient comes in for a free 30-minute consultation.
Treatment proposal
Within two weeks, you will receive a plan with the price, duration, and number of sets of braces.
Production of braces
Production takes 1–3 weeks from approval of the proposed treatment plan.
Commencement of treatment
The handles and hooks are attached and the informed consent form is signed.
Routine checks
The first check-up is performed after one month, then every 2–3 months. The check-up takes 15 to 30 minutes.
Finishing kits
To fine-tune the desired result. The number depends on the treatment program.
Successful completion of treatment
Removal of additional devices and hooks, teeth polishing, photo documentation.
Retention phase
After treatment, it is necessary to wear a retainer. You can choose between a wire retainer or a night retainer.

„Spark braces are among the most precise and comfortable orthodontic solutions available today. Unlike traditional braces, they offer discreet and gentle treatment that is popular with both adults and teenagers. Thanks to digital planning, we know exactly what the smile will look like before treatment begins.“
Martin Šlitr
Clinic Manager
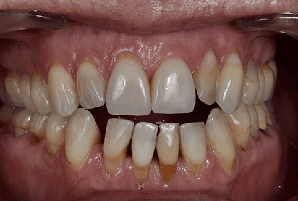
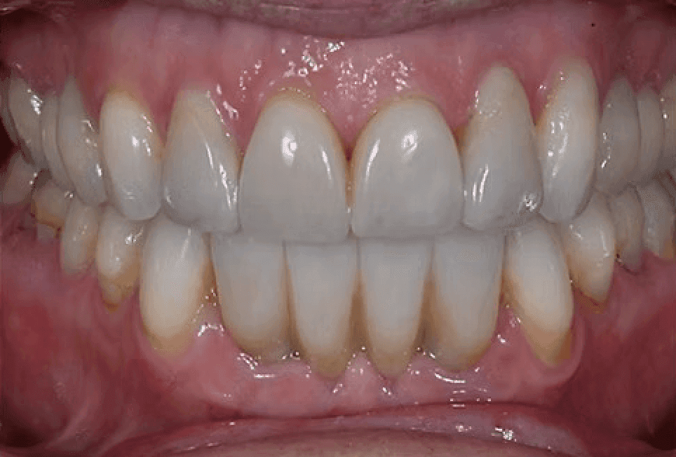
Treatment results


How do you rate us
I was very satisfied with the entire treatment, and my teeth are now beautifully straight. The entire staff at the clinic is very kind and pleasant.
MoreExcellent communication and willingness to change the appointment at the last minute. The procedure went smoothly.
MoreWhat you ask us about braces
Ask usWhy go to dental hygiene appointments with braces?
Why is it important not to throw away at least 2 to 3 sets of your last braces?
How to eat and drink with invisible braces?
How long do I have to wear braces during the day?
How to clean invisible braces?
Is it possible that the treatment will be uncomfortable or painful?
Why do I produce more saliva after starting treatment and wearing my first set of braces?
What are the possible complications of treatment with invisible braces?


The first step to a shining smile
Now it's up to you. Call us, write to us, or fill out the contact form. Make an appointment for a consultation on invisible braces.
